Chụp phim cận chóp bằng kĩ thuật phân giác cho vùng răng nanh hàm dưới là một trong những phương pháp chẩn đoán quan trọng và hiệu quả trong nha khoa. Với sự phát triển của công nghệ, phương pháp này giúp bác sĩ nha khoa đưa ra chẩn đoán và điều trị chính xác nhất cho bệnh nhân, đặc biệt là trong vùng răng nanh hàm dưới.
1. Tổng quan về chụp phim cận chóp với kĩ thuật phân giác cho vùng răng nanh hàm dưới.
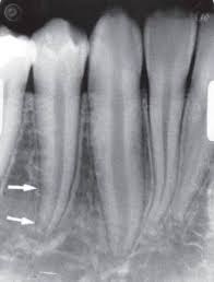
Trong nha khoa, chụp phim cận chóp là một trong những phương pháp quan trọng để chẩn đoán và điều trị các vấn đề liên quan đến răng miệng và xương hàm của bệnh nhân. Phương pháp này giúp bác sĩ nha khoa xem xét rõ ràng các cấu trúc của răng và xương hàm, đồng thời đưa ra kết luận chẩn đoán chính xác và lựa chọn phương pháp điều trị phù hợp nhất.
Trong đó, kĩ thuật phân giác cho vùng răng nanh hàm dưới là một trong những phương pháp chụp phim cận chóp thông dụng trong nha khoa. Phương pháp này cho phép bác sĩ nha khoa tạo ra hình ảnh rõ ràng về các răng và xương hàm trong vùng này, đặc biệt là trong trường hợp các răng xếp chồng lên nhau hoặc khó tiếp cận.
Với sự phát triển của công nghệ, kĩ thuật phân giác cho vùng răng nanh hàm dưới đã được cải tiến và trở nên đơn giản hơn. Bác sĩ nha khoa có thể thực hiện phương pháp này bằng cách đặt một chiếc máy chụp phim di động vào miệng bệnh nhân, sau đó chụp phim từ nhiều góc độ khác nhau.
Với những ưu điểm và lợi ích của mình, kĩ thuật phân giác cho vùng răng nanh hàm dưới đang được sử dụng phổ biến trong nha khoa. Nó giúp bác sĩ nha khoa đưa ra chẩn đoán chính xác và lựa chọn phương pháp điều trị phù hợp nhất cho bệnh nhân, đảm bảo sức khỏe răng miệng và xương hàm của bệnh nhân được bảo vệ tốt nhất.
2. Phương pháp chụp phim cận chóp bằng kĩ thuật phân giác cho vùng răng nanh hàm dưới
Cách thức thực hiện phương pháp này
Bước 1: Kiểm tra tư thế đầu, khớp cắn hoặc những vùng có bất thường khác.
Bước 2: Cầm phim bằng ngón trỏ hoặc ngón cái ở cạnh ngắn của phim. Đặt phim nằm dọc sao cho cạnh trên của nó cao hơn rìa cắn răng nanh 6mm. Nếu gặp phải sự kháng cự thì bảo bệnh nhân nâng lưỡi lên sau đó để lưỡi thư giãn.
Bước 3: Hướng dẫn bệnh nhân giữ phim bằng ngón trỏ bằng cách ấn nhẹ lên phim. Kê một miếng bông giữa phim và răng để tránh cong phim cọ sát vào cung răng gây đau.
Bước 4: Đặt góc ngang của tia trung tâm đi qua kẽ răng nanh hàm dưới và răng hàm nhỏ thứ nhất hàm dưới.
Bước 5: Đặt góc đứng khoảng -20 độ.
Bước 6: Điểm vào của tia trung tâm là giữa chân răng nanh, khoảng 2,5cm trên bờ nền xương hàm dưới. Xác định đường này bằng cách hạ một đường từ chân cánh mũi xuống cắt đường nối đỉnh cằm đến chân dái tai, đấy chính là điểm vào để chụp răng nanh.

3. Lợi ích của phương pháp chụp phim cận chóp bằng kĩ thuật phân giác cho vùng răng nanh hàm dưới
3.1. Chẩn đoán chính xác và kế hoạch điều trị phù hợp
Kĩ thuật phân giác cho vùng răng nanh hàm dưới giúp bác sĩ nha khoa có thể xem xét rõ ràng các cấu trúc của răng và xương hàm trong vùng này. Từ đó, bác sĩ có thể đưa ra chẩn đoán chính xác và lựa chọn phương pháp điều trị phù hợp nhất cho từng trường hợp bệnh nhân. Điều này giúp tăng cơ hội thành công trong điều trị và giảm thiểu nguy cơ tái phát sau điều trị.
3.2. Đánh giá chính xác tình trạng răng và xương hàm
Phương pháp chụp phim cận chóp bằng kĩ thuật phân giác cho vùng răng nanh hàm dưới cung cấp hình ảnh rõ ràng và chi tiết về các cấu trúc của răng và xương hàm trong vùng này. Điều này giúp bác sĩ nha khoa đánh giá chính xác tình trạng của răng và xương hàm, bao gồm các vấn đề về sức khỏe như sâu răng, nhiễm trùng, viêm nha chu, mất răng, xương hàm yếu, và các vấn đề khác.
3.3. Giảm thiểu nguy cơ phát sinh các vấn đề sức khỏe do tác động của tia X
Phương pháp chụp phim cận chóp bằng kĩ thuật phân giác cho vùng răng nanh hàm dưới sử dụng tấm chụp phim kích thước nhỏ hơn, giúp giảm thiểu lượng tia X mà bệnh nhân phải tiếp xúc. Điều này giúp giảm thiểu nguy cơ phát sinh các vấn đề sức khỏe do tác động của tia X, bao gồm ung thư và các vấn đề khác liên quan đến tia X.
3.4. Nâng cao chất lượng dịch vụ nha khoa
Kĩ thuật phân giác cho vùng răng nanh hàm dưới là một phương pháp chụp phim cận chóp hiệu quả và tiên tiến trong nha khoa. Việc sử dụng phương pháp này giúp nâng cao chất lượng dịch vụ nha khoa, giúp bác sĩ nha khoa cung cấp cho bệnh nhân các phương pháp chẩn đoán và điều trị hiệu quả hơn, từ đó tăng sự hài lòng và tin tưởng của bệnh nhân.
Tóm lại, kĩ thuật phân giác cho vùng răng nanh hàm dưới là một phương pháp chụp phim cận chóp quan trọng và hiệu quả trong nha khoa, giúp bác sĩ nha khoa đưa ra chẩn đoán và kế hoạch điều trị chính xác nhất, giảm thiểu nguy cơ phát sinh các vấn đề sức khỏe do tác động của tia X, và nâng cao chất lượng dịch vụ nha khoa.
-
Kết luận
Kết luận về chủ đề chụp phim cận chóp bằng kĩ thuật phân giác cho vùng răng nanh hàm dưới là phương pháp hữu hiệu và cần thiết trong nha khoa để đưa ra chẩn đoán chính xác và kế hoạch điều trị phù hợp cho các vấn đề về răng và xương hàm. Phương pháp này giúp bác sĩ nha khoa xác định chính xác vị trí và mức độ tổn thương của sâu răng, nhiễm trùng và viêm nha chu, cũng như tình trạng mất răng và xương hàm yếu, giúp đưa ra quyết định về phương pháp điều trị phù hợp nhất cho từng trường hợp bệnh nhân.
Chụp phim cận chóp bằng kĩ thuật phân giác cũng giúp bác sĩ nha khoa đánh giá tình trạng của răng và xương hàm trước và sau khi tiến hành các thủ tục nha khoa, giúp đánh giá kết quả điều trị và điều chỉnh phương pháp điều trị nếu cần thiết.
Tóm lại, phương pháp chụp phim cận chóp bằng kĩ thuật phân giác cho vùng răng nanh hàm dưới là một công cụ hữu ích và không thể thiếu trong nha khoa để hỗ trợ cho bác sĩ nha khoa đưa ra quyết định chẩn đoán và điều trị chính xác cho bệnh nhân.
Leave a Reply