Tổng quan về Neutrophils: Tế bào chính trong phản ứng viêm cấp

Neutrophils là loại tế bào bạch cầu lưu hành phổ biến nhất trong cơ thể. Những tế bào này đóng vai trò quan trọng trong phản ứng miễn dịch bẩm sinh và tham gia vào giai đoạn đầu của viêm và nhiễm trùng. Khả năng di chuyển nhanh chóng đến các điểm nhiễm trùng và thực bào (phagocytosis) hiệu quả vi khuẩn khiến chúng trở nên cần thiết trong việc chống lại các vi sinh vật.

1. Giới thiệu về Neutrophils

neutrophil, neutrophile | Taber's Medical Dictionary
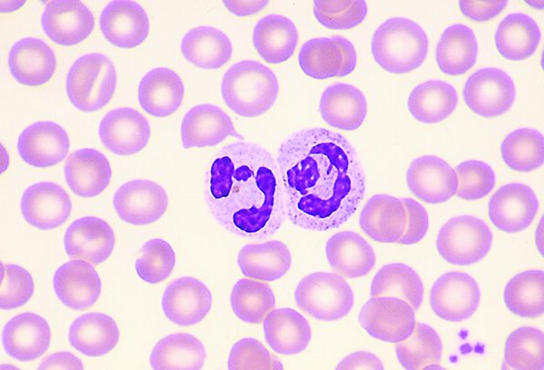
Hình dạng Neutrophils trên phết máu ngoại biên

Neutrophils (bạch cầu hạt trung tính) là tế bào bạch cầu ưu thế trong cơ thể, chiếm 50-70% tổng số lượng bạch cầu. Những tế bào này đóng vai trò quan trọng trong phản ứng miễn dịch bẩm sinh và tham gia vào giai đoạn đầu của phản ứng viêm và nhiễm trùng. Bài viết này sẽ cung cấp một cái nhìn tổng quan về các tính chất và chức năng của neutrophils. Cũng như tầm quan trọng của chúng trong hệ miễn dịch của cơ thể.

2. Tính chất

Neutrophils là các tế bào cầu với đường kính khoảng 12-15 µm. Tên gọi “polymorphonuclear leukocytes (PMNs)” – “Bạch cầu hạt đa nhân trung tính”, thường được dùng để phân biệt neutrophils và tế bào bạch cầu đơn nhân không phân thuỳ khác (macrophages, lymphocytes). Tuy nhiên, thật chất Neutrophils cũng là bạch cầu đơn nhân, hạt nhân của chúng được phân thành 3-5 đoạn vẫn còn nối với nhau.
Tế bào chất của neutrophils có hai loại hạt và được bao bọc bởi màng tế bào:

  • “Hạt đặc trưng” (specific granules): Chứa các enzyme như lysozyme, collagenase và elastase. Loại hạt này không bắt màu với thuốc nhuộm bazo và acid, giúp phân biệt chúng với các loại tế bào bạch cầu khác: basophils (bạch cầu ưa bazo) và eosinophils (bạch cầu ưa acid).
  • Hạt azurophilic (azurophilic granules): Loại hạt này bắt màu với thuốc nhuộm azure A. Chứa các nzyme và chất diệt khuẩn như myeloperoxidase, defensins và cathelicidins.

Neutrophils được sản xuất trong tủy xương và được kích thích bởi Granulocyte colony-stimulating factor (G-CSF)  – Yếu tố kích thích bạch cầu hạt – và granulocyte-macrophage colony-stimulating factor (GM-CSF) – Yếu tố kích thích bạch cầu hạt và đại thực bào. Mỗi ngày, một người trưởng thành sản xuất hơn 1011 neutrophils, mỗi tế bào lưu hành trong máu trong vài giờ hoặc tối đa 5 ngày trước khi chết. Neutrophils có thể di chuyển nhanh chóng đến các vị trí nhiễm trùng sau khi vi khuẩn xâm nhập, và sau khi vào mô, chúng chỉ hoạt động trong 1 đến 2 ngày trước khi chết.

3. Chức năng

Chức năng chính của tế bào bạch cầu trung tính là quá trình thực bào (phagocytosis), quá trình mà chúng “nuốt chửng” và tiêu diệt vi khuẩn, nấm và virus. Neutrophils đặc biệt hiệu quả trong việc thực bào những vi sinh vật đã được đánh dấu để tiêu diệt bởi kháng thể hoặc các bổ thể. Một khi đã vào trong tế bào, vi sinh vật sẽ được bao quanh trong các túi phagosome, sau đó kết hợp với lysosome tạo thành phagolysosome và tiêu diệt vi sinh vật trong đó. Neutrophils cũng có thể bài tiết các hạt như cytokine, chemokine và protease, góp phần vào việc chống viêm, bảo vệ hệ miễn dịch cơ thể người.

Ngoài quá trình thực bào, Neutrophils cũng có thể phóng ra “các bẫy bạch cầu trung tính ngoại bào”  (NETs). Cấu trúc này bao gồm vật liệu di truyền và protein kháng khuẩn có thể làm tê liệt và tiêu diệt các vi sinh vật. Tuy nhiên, NETs cũng có thể góp phần vào tổn thương mô và viêm nhiễm trong một số trường hợp.

4. Sự di chuyển của Neutrophils trong phản ứng viêm

Sau khi trưởng thành trong tủy xương, neutrophils và monocytes vào máu và lưu thông khắp cơ thể. Chức năng chính của chúng, bao gồm việc thực bào và phá hủy vi sinh vât và tế bào mô chết.

Neutrophils và monocytes trong máu để đến được các điểm mô nhiễm trùng và tổn thương là một quá trình gồm nhiều bước phụ thuộc vào selectin, integrin và chemokine. Neutrophils thường là loại tế bào bạch cầu số lượng nhiều nhất tích tụ tại vị trí nhiêm trùng hay mô tổn thương trong vòng 24 đến 48 giờ và sau đó được thay thế bởi monocytes. Điều này có thể phản ánh việc có nhiều neutrophils hơn trong máu, chúng phản ứng nhanh hơn với chemokine so với monocytes hoặc các tế bào bạch cầu khác. Sau khi vào các mô, neutrophils có tuổi thọ ngắn trước khi chết bởi chết tế bào theo chương trình (apoptosis). Trong khi đó monocytes sống lâu hơn và có thể sinh sản trong các mô. Tuy nhiên, ở một số điểm viêm, chỉ có monocytes được triệu tập còn neutrophils không được triệu tập. Những sự di chuyển khác nhau này có thể phản ánh sự khác biệt trong việc tương đối về sự biểu hiện của phân tử kết dính (adhesion molecules) và các thụ thể của chemokine trên neutrophils so với monocytes.

4. Kết luận

Tế bào bạch cầu trung tính là thành phần quan trọng của hệ miễn dịch bẩm sinh, đóng vai trò chủ chốt trong giai đoạn đầu của sự viêm nhiễm. Khả năng di chuyển nhanh chóng đến các điểm nhiễm trùng và thực bài hiệu quả vi sinh vật khiến chúng trở nên vô cùng cần thiết trong việc chống lại các mầm bệnh. Ngoài ra, khả năng bài tiết cytokine và chemokine của chúng góp phần vào phản ứng viêm và tăng cường hệ miễn dịch. Tuy nhiên, các neutrophils cũng có thể góp phần vào tổn thương mô và viêm nhiễm trong một số trường hợp. Vì vậy, hiểu rõ tính chất và chức năng của chúng rất quan trọng với chuyên gia y tế để có thể chẩn đoán và điều trị hiệu quả các rối loạn liên quan đến Neutrophils trong hệ miễn dịch.

Các độc giả có thể truy cập vào trang web vinmecdr.com, để tham khảo thêm những bài viết chuyên sâu về Neutrophils và hệ miễn dịch của cơ thể con người.

Tài liệu tham khảo
Abul K Abbas, Andrew H. Lichtman, and Shiv Oillai. 2021. Cellular and Molecular Immunology. 10th ed.


Posted

in

,

by

Tags:

Comments

Leave a Reply

Your email address will not be published. Required fields are marked *